Cleaning up the Western: the merits of going stain-free

August 7, 2012
Uncategorised
In Depth

The gold standard for protein identification and characterisation has become stain-free says Ryan Short

Western blotting has long been the gold standard for protein identification and characterisation. Commonly used to assess relative protein expression differences, accurate western blot quantitation requires careful attention to procedural details and normalisation. While many scientists still rely on traditional western blotting methods, a new technological advancement to the protocol called stain-free imaging is making the time-consuming, sometimes hit-or-miss process faster and more bulletproof. For researchers quantitatively comparing protein levels, stain-free imaging enables more accurate results by eliminating the need for housekeeping reference proteins.

Stain-free imaging technology is a unique chemistry that incorporates a trihalocompound in the polyacrylamide gel. When the gel is exposed to UV irradiation by the stain-free enabled imager, it activates a covalent reaction between the trihalocompound and the protein’s tryptophan residues in the gel, resulting in ultraviolet induced fluorescence. Capturing a photo of the gel takes less than three minutes.

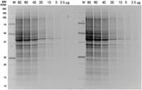
Using stain-free precast gels, researchers can complete electrophoretic separation of protein samples in as little as 15 minutes. To ensure the sample is not degraded, post-electrophoresis gel results can be visualised in less than three minutes using a stain-free imaging system (Figure 1a). This represents a significant advance over traditional Coomassie gel staining methods that can take up to two hours to complete and are not western blot compatible.

Figure 1a: HeLa cell lysate (2.5 – 80 µg total protein per lane) separated by TGX “any kD” Criterion Stain-Free 1-D SDS gel (18 slots) and imaged with ChemiDoc MP. M = marker proteins

Protein transfer to membrane and verification of transfer can be completed in as little as three minutes using the automated transfer system, the Trans-Blot Turbo. Researchers can instantly visualise protein transfer prior to blot detection by imaging the stain-free activated proteins on the membrane (Figure 1b). The gel can also be re-imaged to establish whether any proteins remain. Compared to conventional blot stains such as SYPRO Ruby and Ponceau S, stain-free enabled technology offers comparable sensitivity and provides better reproducibility and linearity. In what traditionally would take hours to complete, stain-free technology now enables protein visualisation and verification in 20 minutes.

Stain-free technology can also provide an easier method for total protein normalisation. Researchers quantifying western blot experiments traditionally normalise data with housekeeping proteins, which often requires stripping and probing the membrane a second time, or probing with multiple antibodies simultaneously. Both require extra steps to the protocol, consuming reagents, time, and labour. Furthermore, normalising against housekeeping proteins might produce inaccurate results1.

Stain-free detection allows researchers to calculate the relative amount of total protein in each lane on the blot, which can then be used for normalisation. This method produces faster, quantitative results compared to relative normalisation using housekeeping proteins.

Labs across the globe have implemented stain-free technology in their western blotting workflow. From studying the role protein degradation plays in the cause of diabetic cardiomyopathy to identifying proteins that might correspond with tender, juicier meat, stain-free is improving the way labs process and collect data.

The primary focus of research conducted at Assistant Professor Dr Aldrin Gomes’ laboratory at the University of California, Davis is how protein degradation pathways affect cellular performance. Gomes’ team of researchers is studying functional consequences of protein mutations, for example troponin mutations, and their link to sudden death in cardiomyopathy.

Graduate student, Shannamar Dewey, is trying to uncover the role protein degradation – specifically, the regulation of protein degradation through the ubiquitin proteasome system (UPS) – plays in the pathogenesis of diabetic cardiomyopathy.

Figure 1b: HeLa cell lysate (2.5 – 80 µg total protein per lane) separated by TGX “any kD” 18 slot Criterion Stain-Free 1-D SDS gels, blotted to nitrocellulose membrane and imaged with ChemiDoc MP. M = marker proteins

"We became interested in diabetic cardiomyopathy because studies have shown that there could be a role for protein degradation in the pathogenesis of that disease," explains Dewey.

To know if the UPS is being altered during the disease state, and if that alteration is happening pre- or post-disease, Dewey and her fellow students run assays to identify the activity levels of different proteases to see if these are being altered. Running gels is a critical basic step in their workflow as this allows them to determine how much protein is present in samples, look at protein amounts for various control versus experimental groups, and equalise protein amounts across these groups prior to running their assays.

"Probably the most often used step for imaging in my research is with western blotting," she explains. "I rely on imaging to tell the true story of how much antibody is present in my control versus experimental animals."

Prior to acquiring the stain-free enabled ChemiDoc MP system from Bio-Rad, Dewey found western blotting challenging, experiencing uncertainty as to whether her proteins separated well in her gels and if all her proteins transferred completely.

"With the ChemiDoc MP System’s pre-programmed stain-free setting, it's a two minute, 30 second activation of the stain-free gels," says Dewey. "This allows me to be confident before I even do my transfer that my gel ran well — now I can just double check my transfer before I waste my time and my antibodies."

Dr Fur-Chi Chen, a food science associate professor at Tennessee State University, uses a V3 Western Workflow system from Bio-Rad Laboratories to help identify proteins that might correspond with tender, juicier meat.

The juiciness of a chicken breast depends on its water-holding capacity. Dr Chen studies the relationships between muscle protein and water-holding capacity and hopes to identify the differences in protein expression that lead to lean versus fatty chicken. He performs quantitative western blotting experiments to identify, profile, and quantify these differences. Prior to implementing the workflow, Dr Chen typically ran two gels.

“I ran two gels: one gel that I stained and another for the rest of the western blotting process,” said Dr Chen.

Now that he uses stain-free enabled imaging to instantly visualise the gel, he only needs to perform experiments with one gel. According to Dr Chen, transfer using a wet tank apparatus routinely took one to two hours. Now, he performs just as effective transfers in only seven minutes.

“Before the V3, I quantified using housekeeping proteins,” says Dr Chen. “Probing with the first antibody then stripping and re-probing with the housekeeping proteins took a half-day. In addition, the signal from the first antibody carried over. Now, with stain-free imaging, I can normalise using total proteins in minutes and save those five to six hours.”

Shannamar Dewey also appreciates the time-savings of the stain-free imaging technology: "My goal is not to be a graduate student forever. So in that respect, anything that makes my day faster and I'm able to fit more in — it fits into my plan."

  • References: Ferguson RE, Carroll HP, Harris A, Maher ER, Selby PJ, Banks RE. Housekeeping proteins: a preliminary study illustrating some limitations as useful references in protein expression studies. Proteomics. 2005 Feb;5(2):566-71.
  • The Author: Ryan Short, Manager, Western Blotting, Bio-Rad Laboratories

Related Content

Pin It on Pinterest

Share This