Go west, go digital

Due to its high sensitivity, X-ray film has been the most popular material used for western blot visualisation for decades. Digital imagers, which once lagged behind in this feature, have recently closed this gap says Kris Simonyi

Due to its high sensitivity, X-ray film has been the most popular material used for western blot visualisation for decades. Digital imagers, which once lagged behind in this feature, have recently closed this gap says Kris Simonyi 

However, some researchers still believe film possesses greater sensitivity than digital imaging because film is more readily saturated by signals from the blot.

This ease of signal saturation, however, hides the real problem: film’s dynamic range for detecting light is quite narrow, which is most obvious when researchers try to compare weakly and highly expressed proteins simultaneously. The longer exposure times required for faint signal detection can lead to oversaturation of stronger expression signals on film.

While this signal saturation can be reduced by validating film’s exposure time and determining the correct dynamic range for each target protein, digital imaging — with its superior dynamic range — can capture the faint signals missed by X-ray film without compromising stronger signals to saturation.

Here, we take a look at how three researchers benefitted from making the switch from X-ray film to digital imaging systems. Each case study highlights the difficulty of using film to obtain useable quantitative western blot data due to its limitations in simultaneously capturing proteins with low and high expression levels and how digital imaging was able to conquer these obstacles.

Detecting subtle protein modifications by eliminating signal saturation

Inflammatory bowl disease (IBD) most commonly manifests as either Crohn’s disease or ulcerative colitis. These diseases arise from an inflammatory response that begins with a reaction to the body’s microbiome.

The TNF-alpha pathway is thought to be integral to the development of IBD because of its role in initiating inflammation and in regulating cell death. Dr Ling Shao, an assistant professor of medicine at the University of Southern California, has set out to obtain a deeper understanding of the pathway’s role in initiating programmed cell death, or apoptosis, in certain tumor cells.

One protein of interest to Dr Shao is RIPK1 (receptor-interacting protein kinase 1), a crucial cog in the early phases of TNF receptor signaling, particularly in helping determine whether the cell will live or die. Post-translational modifications, such as ubiquitination, are part of protein biosynthesis and can regulate multiple cellular processes. However, because ubiquitin modifications produce only small changes in RIPK1 sizes (~9kD), unmodified and modified proteins appear as closely spaced bands on a western blot image in X-ray film.

In trying to resolve these bands using X-ray film, it is easy to overexpose the blot, especially if one of the bands has a stronger signal that leads to saturation.

“On film, it’s quite easy to overexpose the blot, leading to bands that fuse together,” Dr. Shao said. “Then you might have to re-expose several times to get a usable image, if it’s even possible at all.”

14-1658_Figure1

Figure 1: Distinguishing RIPK1 from ubiquitin-modified RIPK1. Lysates were evaluated for the expression of RIPK1 protein (red box) and RIPK1 modified with one, two, or three ubiquitin molecules (blue box). The blots were imaged using the ChemiDoct Touch Imaging System (left panel, 20 min exposure) or exposed to film (right panel, 5 min exposure).

Fortunately, after switching to digital Imaging system from Bio-Rad, Dr Shao was able to delineate the bands that had been obscured by the oversaturated signal on film (Figure 1). Dr Shao credits the imaging system’s high resolution. He also appreciates the system’s wide dynamic range, which saves him from having to test different substrates as he would if using film. Instead, he can start imaging with a single substrate and be confident that the imaging system’s dynamic range will accommodate it.

“Because the system has such a great dynamic range, you can just use a stronger substrate to start and you’ll get the different, closely spaced bands that appear on film as a single, dominant band,” he said.

Detecting faint expression levels and quantitating proteins over a wide dynamic range

Aiwen Dong, a postdoctoral Fellow at Stanford University, is conducting translational research on epithelial growth factor receptor (EGFR) activity to understand carcinogenesis for tumors that begin in the gut, such as colorectal cancer. His goal is to develop an EGFR inhibitor for potential therapeutic use.

The challenge in studying EGFR is that its expression levels are generally low, resulting in faint bands on blot images on X-ray film. Ideally, he would like to compare the levels of EGFR to those of other, more abundant proteins. With X-ray film, this proved difficult because exposing faint bands led to oversaturation of the darker bands. That made it impossible to determine the relative protein expression levels.

Figure 2: Visualising faint EGFR bands. Lysates were evaluated for the expression of EGFR, which is widely expressed in epithelial cancer cells but at low levels. The blots were imaged using the ChemiDoc Touch Imaging System (left panel) or exposed to film (right panel). Exposure times are indicated below the images. The red boxes highlight the visualisation of the faint EGFR band in the ChemiDoc Touch image.

Figure 2: Visualising faint EGFR bands. Lysates were evaluated for the expression of EGFR, which is widely expressed in epithelial cancer cells but at low levels. The blots were imaged using the ChemiDoc Touch Imaging System (left panel) or exposed to film (right panel). Exposure times are indicated below the images. The red boxes highlight the visualisation of the faint EGFR band in the ChemiDoc Touch image.

To correct for this, Dong decided to try a digital system to image a western blot membrane. He was immediately able to detect a faint EGFR band that he could not see previously (Figure 2). With the imaging system’s broad dynamic range and high sensitivity, he could compare its expression level to those of other, more highly expressed proteins.

“Here on film I could not detect the EGFR band, but using the imaging system I was able to detect it,” Dong said, pointing to his side-by-side comparison images of the same blot. “On film, I failed to see that band, even though my control was there. I also exposed the film first, so it’s not a problem of signal fading.”

Furthermore, digital imaging allowed him to capture images promptly, without repeated film processing, the need to handle darkroom chemicals or any film-associated mishaps.

Instantly optimising exposure levels to capture faint and dark bands

Hypodiploid acute lymphoblastic leukemia is a subtype of childhood leukemia that has proven highly resistant to treatment. Researchers such as Dr Ernesto Diaz-Florez, an assistant professor at the University of California, San Francisco, are studying protein pathway alterations to determine possible therapeutic targets. In particular, his lab has been focusing on the Bcl-2 family members involved in the survival pathway.

Dr Diaz-Florez’s lab believes that reducing the elevated pro-survival protein levels in leukemic cells will induce their death while leaving normal cells untouched. In vitro studies have supported this hypothesis, so the next step is to test potential treatments in vivo.

One task Diaz-Florez’s lab must undertake is to study many proteins in multiple cell lines simultaneously. To do this, the researchers must be able to visualise fine distinctions between protein expression levels to find the most therapeutically relevant proteins. When Diaz-Flores used X-ray film, quantitating these differences between expression levels proved difficult, with either too much exposure or not enough. His team ended up repeating exposures and wasting time.

“Having a very strong band next to a very faint band, that posed a special challenge,” said Diaz-Flores. “Using film, you had to first try to expose for the dark band, then the faint band. And it was always too much exposure, or not enough. You ended up repeating exposures and wasting time on a technical challenge, rather than a scientific challenge.”

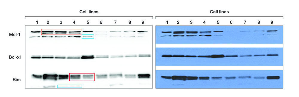
14-1658_Figure3

Figure 3: Visualising expression levels of Bcl-2 family proteins. Lysates from nine leukemic cell lines were evaluated for the expression of three Bcl-2 family members, Mcl-1, Bcl-xl, and Bim. The blots were imaged using the ChemiDoc Touch Imaging System (left panel) or exposed to film (right panel). The coloured boxes highlight the advantages of the ChemiDoc Touch Imaging System over film: the red boxes show finer resolution between bands; the blue boxes highlight better visualisation of faint bands.

Fortunately, there was a simple solution: He switched to a digital imaging system. By using this system instead of X-ray film, Diaz-Flores was able to quickly optimise exposure for the proteins of interest. Doing so led to better resolution between closely spaced bands (Figure 3). In a few seconds, the machine was able to determine the right exposure for the dark and the faint band and provide very clean band images without extra background noise. In addition, the imaging system allowed Diaz-Flores to visualise bands not visible on film.

Overall, using a digital imager has simplified the way he and his lab analyse and quantify proteins. In a high-throughput lab, this is key to moving closer to treatments for leukemia.

The author: 

Kris Simonyi, New Product Development Manager, Western Blotting and Electrophoresis,  Bio-Rad Laboratories

Related Content

Pin It on Pinterest

Share This