Image integrity in academic papers

Academic papers are the most important medium for introducing results to the scientific community, so researchers, editors and publishers have an ethical obligation to ensure all the data shared is valid. Despite the importance of images for sharing data, integrity issues occur frequently says Dror Kolodkin-Gal.

Scientific images in papers must be accurate to avoid misunderstanding, misinterpretation and allegations from readership. While the scientific community often understands the importance of image integrity, such issues are prevalent in publishing. According to leading image data integrity analyst Jana Christopher [1], the percentage of manuscripts flagged for image related problems ranges from 20 to 35 per cent.

So, why is this important? According to Christopher: “The focus on images has intensified over the last few years. These days, a growing number of journals perform regular checks, and we have a community of post-publication reviewers and whistle-blowers who will, often anonymously, flag image irregularities on PubPeer and on social media.”

The consequences

While most of these image integrity issues are unintentional, if researchers do not take the time to resolve them before publication, and if it is not flagged by the editor, it can be detrimental to their reputation.

Failing to detect image integrity issues before submission, either for grant requests or publication, can result in rejection. If a grant authority rejects a submission, it can delay access to funding, halting research.

Alternatively, publishers do not need to disclose a reason for rejection during the peer review process, which can make it difficult for researchers to understand how they can improve the probability of publication elsewhere.

If an issue goes undetected during review and is reported post-publication, either to the journal or online, the publisher must investigate to determine if the allegation is true, how it occurred and how to resolve it. Investigations can take years, during which time researchers may find it difficult to win further funding, conduct research or publish elsewhere. Therefore, no matter the outcome of the investigation, researchers must work hard to rebuild their reputation.

In addition to costly investigations, image integrity issues can negatively impact future research. Academics often base new research on an existing paper – if the original paper contains inaccurate data, any data in new research will also be incorrect, wasting funding. Researchers may also find it difficult to replicate original results if they base their experimental procedures on an existing paper that contains errors, leading to more wasted time, materials and funding.

Why does it happen?

The aforementioned research from Jana Christopher highlights that image integrity issues occur frequently. This is because it can be difficult to avoid image duplications and even more difficult to detect overlaps of complex images when checked manually – resulting in unintentional image duplications.

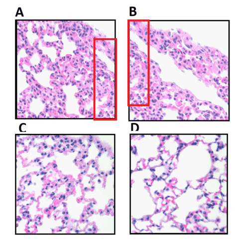
Duplication refers to any form of reusing the same image in different parts of the paper without outlining it. This can occur when an image used the same way twice, or may have been altered, for example by changing the rotations, size or scale. The image may have also been flipped or cropped during duplication, or researchers may use two parts of the same specimen, but they overlap.

Failing to detect image integrity issues before submission, either for grant requests or publication, can result in rejection

Duplications like these often occur because researchers will collect hundreds to thousands of images of specimens while conducting research, either for their own paper or for collaborative research with scientists from different universities.

If these images are not properly managed, it might be difficult to distinguish between files, increasing the risk of unintentional duplication.

Proactive checks

Image duplications such as these may go unnoticed because researchers and editors often review images manually, meaning there is no guarantee that they will detect issues before submission and publication. Manually checking images is time consuming and introduces the risk of human error. Therefore, automating image integrity checks is the best way to give researchers and editors the peace of mind that they are sharing credible data.

Advancements in artificial intelligence (AI) and computer vision has led to the development of valuable tools for scientists that researchers and publishers can use to check content for grammar, readability and plagiarism. Similarly, publishers and researchers can now use software to automate the image checking process.

Proofig software, for example, automatically scans every image in a research paper, completing checks in one to two minutes. The software checks each image against itself and the others in the paper, looking for any anomalies that might be caused by duplications or manipulations. With tools like these, researchers can confidentially scan papers and check sub-images before submitting their work to a publication, enabling them to detect and resolve any issues before sharing the content publicly. Additionally, during the review process, grant committees or peer review teams can use image integrity software to streamline reviews, enabling reviewers to check more papers in shorter time frames without compromising on the impact factor of the journal.

In scientific research, images are not just a device to illustrate a point — images such as microscopy slides and western blots contain valuable data. As a result, the scientific community needs access to tools that ensure all data, whether in written or image form, is credible.

Software enables researchers and editors to detect and resolve image manipulations and duplications before publication, reducing the risk of printing mistakes or costly investigations while maintaining their reputation.

Dr. Dror Kolodkin-Gal is a cancer and virology researcher and founder at Proofig

References:

1 https://ukrio.org/researchintegrity-resources/expert-interviews/jana-christopherimage-integrityanalyst/

Related Content

Pin It on Pinterest

Share This