Live cell imaging passes the IQ test

Live cell imaging will make a big impression in many markets but lacks a coherent solution – or does it?
Live cell imaging will make a big impression in many markets but lacks a coherent solution – or does it?
Many well-established procedures used as stringent confirmatory tests in the pharmaceutical industry are fundamentally flawed since they rely on inaccurate assumptions. These can lead to wildly varying conclusions on the efficacy of a target compound between different assays. This should surely not be the case; a compound should have a very similar effect every time it is applied to identical test samples. This same statement is one of the reasons that tests are often erroneous.
It is assumed that compound 'A' will produce an assay result 'Z' in time 't' and therefore the point at which an assay is stopped and analysed (the end-point) is taken as 't'. Therefore all that is really analysed is the effect of a compound at one time-point, which may or may-not reflect the true nature of the compound. Also this type of end-point analysis does not take into account the changes happening to the cells at a physiological and molecular level over the course of the investigation. It is therefore difficult to see the value of analysing samples at a single unknown time-point.
Live cell analysis
Unfortunately it is very difficult to carry out any other sort of analysis to obtain the information required. The increasing ability to carry out live cell imaging though is turning this testing process on its head. Most end-point analyses assess the viability of cells at time 't'. Live cell imaging allows an accurate assessment of this throughout the course of an experiment and therefore the end-point is not fixed. Live cell imaging is in its infancy as a technique and is still far from polished. The equipment is often not well integrated since it requires a good quality microscope with an incorporated incubator and a suit of complex software programmes and immense processing power. Another problem is in the molecular nature of imaging – the majority of researchers rely on markers or labels to identify cellular events, but the processes involved in doing this often directly or indirectly detrimental to the cells survival and will thus influence what is being analysed.
Pushing frontiers
The next generation of live cell imaging is already emerging from the midst of this new technology, in the form of a coherent wet-lab 'box'. The Cell·IQ from ChipMan Technologies, is a fully integrated incubator, detection system and intelligent analysis software, optimised for continuous culture of living cells. The system follows, records and translates changes in cellular morphology and physiology without the need for traditional labels or dyes in individual cells. This was only possible by taking an alternative view of the problem and integrating fresh ideas with technology not normally associated with the biological sciences. ChipMan Technologies launched the Cell·IQ in 2005 as the first in a pipeline of systems for the study of living cells.
Figure 1. Cell-IQ system
The system is powered by a revolutionary informatics approach, originally developed for factory assembly and high precision robotics: Machine Vision. The informatics software is fully integrated into every feature of the system and is able to control; detection, plate movement, illumination, optical focusing, environmental systems and result analysis. Although this software is all encompassing, it is designed to work with the user. Moreover it can be taught to identify, follow and measure changes that before only the user was able to do. This means that the expertise of a user are stored and standardised and can be added to similar capability from other expert users. Since no markers or labels are required, the optical detection is based on phase contrast microscopy providing the correct level of detail whilst keeping the need for intense light to a minimum. The images produced by the optics are captured by the detection system as information rich images that enable the capture of all individual cells within the area of study. All files are small enough to be stored on either DVD or LAN. The images can be translated into simple graphics for any downstream requirement. What is more, the stored images can be re-interrogated over and over again extracting further new information – the assay does not need to be repeated.
Simultaneous, multi-parameter assays
The system is designed to accommodate and analyse two standard microplates simultaneously and has a proprietary microplate cover that converts cell culture plates into sealed perfusion chambers, with inlets and outlets for gas. Thus incubation gases are piped directly into the wells and not disperse throughout the incubator. This conversion allows the full use of all wells in a culture plate and enables a high control of moisture thus removing the traditional problems associated with evaporation from the edge wells. Multi-parameter measurements can be collected from each well. For example, a researcher may request; total cell number, proliferation rate, number of dead cells, number of living cells, and then maybe two or three other specific measurements later – these are stored as ''intelligent'' protocols within the system. Cell·IQ protocols comprise of packages of multiple assays. Such packages can be refined to add even more parameters – there is no real limit. The following are typical morphological and physiological events that can be requested within a protocol on Cell·IQ.
1. Basic parameters of the cell population
a) Total cell number
b) Cell proliferation
c) Recognise all stages of cell death; apoptosis, necrosis etc
d) Total viable cells
2. Dynamic parameters of the cell population
a) Migration
b) Attachment
c) Shape, size
d) Rates of change
3. Morphological features
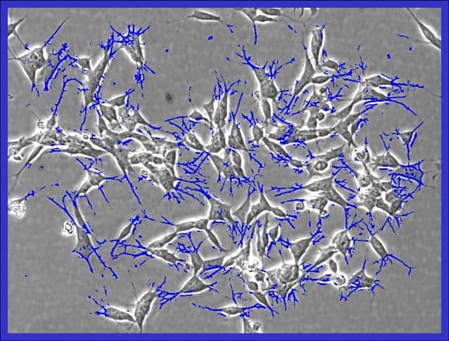
a) Dendrite formation of the neural cells, measurement of length, number of branches.
b) Cytoplasmic and nuclear changes during toxic insults
c) Early stage toxicity indication i.e. vacuole formation
4. Morphology and recognition of the cell types
a) Differentiation of stem cells
b) Co cultures and heterogeneous cell populations
c) Analysis of cell types in heterogeneous populations
Automation of simple and complex assays
There is an increasing need today for a better understanding into the mode of action of drugs, so that development of new therapies for metabolic diseases or cancers is improved. Also, an integrated system such as the Cell·IQ will greatly aid studies establishing the lineage of primary cells (stem cells, bone marrow, liver cells). There is also a need to make this area of research 'high-throughput' which has been achieved by the automation of co-culture experiments using the Cell·IQ, In these applications there are no ready kits or easy solutions available. More complex cell model measurements and experiments are very manual. Many researchers are uneasy over the use of labels for such work. Even for standard tests where a simple end point is used, more often than not many of the 'kits' or published methods are indirect - they measure label, rather than the biology. The rates of change are not recorded, and as seen in Figure 2, these can be more revealing about a mode of action. Here it is clear that the three standard tests used, contradict each other. In one test, the mitochondrial enzyme test (WST), the cells are shown as healthy, whereas the images of the cells show that they are most definitely dead.

Figure 2. Antimycin insult measured over 48 hours in human kidney (HK2) cells
The system is also capable of performing analysis on the more complex models being developed to better mimic the in vivo situation. The use of co-cultures to study the biology of disease is a powerful tool and Cell·IQ automates the analysis of such experiments, Figure 3 shows the results from a typical co-culture experiment. With the current research into primary cells and particularly stem cells, again Cell·IQ is well placed to answer the questions about cell lineage and formulating the correct combination of growth promoters to induce a specific cell evolution.

Figure 3. Co-culture experiment MCF-7 & HFF cells
The proof of the pudding
ChipMan Technologies has developed two key strategic collaborations to help test and develop the Cell·IQ and its future derivatives: Cell Research Centre (CRC), University of Tampere. The CRC has been developing advanced human cell based tissue models for use in all aspects of pre-clinical investigations in the pharmaceutical industry. They are also at the forefront of research into mesenchymal stem cells. Secondly, REGEA, Institute for Regenerative Medicine, University Hospital, Tampere. REGEA are a leading institute in the creation of tissue engineering and cell therapy solutions. It was founded in 2004 in order to enable top-level research using these technologies for applications in medical science, cell biology, biochemistry and engineering sciences. Its goal is to develop tissue products that restore, maintain or improve normal human tissue activity. Tissue engineering and the resulting tissue products combining human tissue and biomaterials are likely to become the third major clinical treatment modality complementing traditional medical and surgical treatments.
Figure 4. Dendrite area measurement (in blue).
Conclusions
In summary, Cell-IQ is the ideal tool for continuous cell culture experimentation and will reduce the time-to-market of new compounds. The 'Machine Vision' informatics translates complex cell responses into simple real time visual outputs. This enables parallel profiling studies e.g. of multiple drug reactions in single and mixed cell populations outputting full efficacy and toxicity profiles. It also provides much more control of all aspects of bioscience and drug discovery research. It allows researchers to track and follow the evolution of primary cells in real time and optimise culture media components, enabling reproducibility.
Novel and innovative features designed by scientists have produced the first coherent system for live cell imaging. Gas flows directly to the wells enabling environmental stability. There is no longer a need to label molecules to see cell events and therefore cells can thrive naturally, and only the compound's effects are monitored. The massive time, work and cost savings in your discovery process, coupled with the reduced use of expensive or precious reagents, simplifies experimentation and eliminates tedious work. Another obvious benefit for an institute or company, is where a researcher is employed for a short tenure. Normally when that person departs their expertise goes with them, but with Cell·IQ, the expertise is downloaded and stored as a working protocol and thus the knowledge continues to work as an in silico colleague.




