Recombinant antibodies beat invisible cancer

September 1, 2005
Uncategorised
In Depth

A small variation in a common bone protein could be the key to beating hidden bone cancers

A small variation in a common bone protein could be the key to beating hidden bone cancers

Many types of cancer spread by metastasizing into bones throughout the body. The resulting bone tumors are among the most life threatening of all tumors. As they can almost never be surgically removed, the chance of recovery is extremely low.

Bone tumors form when the cells that are shed by a primary tumor spread through the blood into the bone marrow. Here, the cancerous cells divide in an uncontrolled manner to form secondary tumors. Metastases can be identified at a very early stage using powerful diagnostic tools such as bone scintigraphy, which involves injection of radioactive phosphorus compounds that accumulate in bone tumors. However, effective treatments have not yet been developed and bone metastases are effectively incurable. The bone tissue itself prevents effective radiotherapy treatment, as it forms a protective layer around the tumor. Drug treatments have also so far been ineffective. Although some early successes were achieved using therapeutic antibodies, their effect was limited, as the antibodies detect only a limited proportion of cancer cells. Armbruster Biotechnologie GmbH and the MorphoSys business unit, Antibodies by Design, are now combining their expertise in a collaborative project that is pursuing a new direction of research.

Removing the cloak of invisibility from tumor cells

Several therapeutic antibodies that inhibit cell proliferation or the growth of metastases are currently being developed. However, all these antibodies have a common feature: they are directed against tumor-specific antigens that are found only in dividing tumor cells, so non-dividing tumor cells in the bloodstream and latent metastases are not recognized. These antibodies are therefore effective in only a limited number of patients. For an effective anti-cancer therapy, a method is needed that targets a more appropriate antigen. Bone Sialo Protein (BSP) has emerged as a very promising candidate antigen.

BSP is a matrix glycoprotein that occurs naturally in bone, cartilage, and dentine. It is heavily glycosylated, with sugar molecules accounting for about half of its molecular weight. The protein is also sulphated and phosphorylated at many sites, which complicates the identification of specific, high-affinity antibodies. For example, no research group has yet managed to obtain specific antibodies that recognize BSP in the bloodstream of humans through immunizing mammals.

Recent research revealed that BSP is very often expressed in many types of primary tumor. A tumor-specific isoform of native BSP is expressed in more than 70% of breast tumors, as well as in many other types of tumor. Additionally, the expression of other variants of BSP can be correlated with the occurrence of bone metastases. BSP therefore probably aids the adhesion, proliferation, and migration of tumor cells into bone tissue and is likely to protect tumor cells against complement-mediated cell lysis through masking of complement factor H on the cell surface.

Therapeutic antibodies

Compared with the native isoform of BSP, the tumor-specific isoform has a minor glycosylation at a key residue of the polypeptide chain. This small variation provides a critical weakness in the protection system of cancer cells, as it is a site where therapeutic antibodies can selectively bind to tumor-specific BSP, leading to attack of tumor cells. Other tissues such as the bone matrix produce the native isoform of BSP and are not affected. Another important factor is that the tumor-specific isoform of BSP is expressed by non-dividing tumor cells, allowing attack of latent cancer cells.

Researchers at Armbruster have succeeded in producing polyclonal anti-tumor-BSP antibodies in chickens, which resulted in the destruction of cancer cells in vitro as well as in animal models (see Fig. 1). Since chicken antibodies are not suitable for use in therapy for human patients, recombinant antibodies were identified that were produced from the HuCAL antibody collection Antibodies by Design. This technology provides a method to identify antibodies whose structure corresponds to human antibodies, which are therefore tolerated by the immune system.









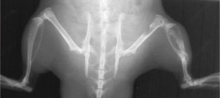
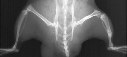
X-rays of a nude rat show bone tumour after injection of tumour cells: After an average of 28 days, lytic metastases could be detected by X-rays; on day 35, the treatment with an anti-tumour-BSP antibody was started. Until day 60, the tumour resulted into a size of up to 40 mm2. Afterwards, the healing started and the tumour decreased its expansion to 25 mm2 (Day103).

Related Content

Pin It on Pinterest

Share This